Tooth Filling
The Pearl Clinic Antalya Turkey Professional Dental Services
7 THINGS YOU SHOULD KNOW ABOUT DENTAL FILLING

Fillings or dental fillings are a common treatment method. Among other pathologies, one of the most common issues to be addressed is cavities. It's rare to find someone without a single filling in their mouth. We have been performing these treatments in our clinic for years. Since it is a prevalent pathology, we should not stop giving it the attention it deserves. Tooth decay is the second most common disease after the common cold and affects over 90% of the world's population.
It is widespread at every age, gender, and social class. Having teeth is enough for cavities to develop. Therefore, both proper oral hygiene and regular dentist visits are essential. Cavities are best detected and treated in dental clinics before they grow too much and require endodontic treatment. The solution to repairing a cavity is a filling.
What is a Filling, and Why Is It Done?
A filling is a treatment method used to repair tooth decay or damaged tooth tissue, restoring its normal function. It preserves the healthy form of the tooth and improves chewing function by filling the gap in the tooth.
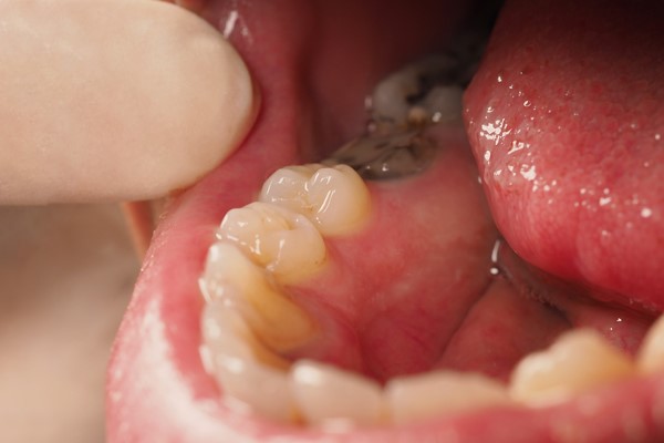
How Is a Filling Done?
The filling procedure includes the following steps:
1. Local anesthesia,
2. Isolation of the affected tooth,
3. Removal of decayed tissue,
4. Filling, sealing, or blocking,
5. Polishing.
What If My Tooth Still Hurts After a Filling?
If pain persists after a filling, you should immediately consult your dentist. While some pain is normal, continuous or severe pain requires professional help.
Have You Noticed Increased Sensitivity After a Filling?
Increased sensitivity after a filling is normal, but if it is severe or long-lasting, you should contact your dentist.
Can a Filling Come Loose?
If a filling comes loose, you should consult your dentist immediately. Filling the gap is crucial because a displaced filling can lead to tooth re-decay.
What Material Is Used for Fillings, and How Long Do They Last?
Fillings are usually made of amalgam (metallic) or composite (tooth-colored) materials. Factors affecting material selection and durability include the patient's needs, aesthetic preferences, and the tooth's location.
Can a Tooth with Fillings Be Whitened?
Filled teeth cannot undergo teeth whitening procedures. Therefore, it is recommended to have fillings done before teeth whitening.
In this post we solve some of these doubts.
![]()
What Is a Filling and Why Is It Done?
A filling, also known as a dental filling, is the most commonly used treatment method in the early stages of cavity treatment. It involves removing the affected tissue and leaving a space to be filled with a biocompatible material later. This process rehabilitates the damaged part of the tooth, restoring its functionality and original appearance.
Cavities are damaged areas where small gaps form in the tooth enamel. They result from bacterial activity in the mouth. Cariogenic bacteria produce acid that can demineralize tooth enamel from residues of starchy or sugary foods.
A lost tooth root, easily replaced with a simple intervention, is replaced with a titanium implant, a biologically compatible, inert material with the human body. More and more factors demonstrating the applicability of the functional load of dental implants emerge every day.
How Is a Filling Done?
The steps to perform the correct treatment of cavities are as follows:
1. Local Anesthesia: Ensures the patient feels no pain when necessary.
2. Isolation of the Affected Tooth: Isolating the decayed tooth allows the dentist to work better and prevents saliva from obstructing the view of the decay.
3. Removal of Decayed Tissue: The dentist removes the affected tissue, and after removal, reconstruction takes place.
4. Filling, Sealing, or Blocking: After cleaning the decay, the void left in the tooth must be filled with a biocompatible material. Usually, this material is composite, and it is shaped to restore the anatomy of the decayed part. This material hardens with light (light-curing or light-activated lamps).
5. Polishing: After the reconstruction of the tooth is completed, it should be polished and adjusted to fit perfectly into the bite.
If My Tooth Still Hurts After a Filling, What Should I Do?
Cavities can cause discomfort and pain when they penetrate the dentin. During such treatments, the dentist ensures that the patient feels nothing by applying local anesthesia. However, sometimes discomfort can be felt during chewing or when a piece comes into contact with cold or hot substances after the treatment. This could be a sign that further treatment is needed.
Have You Noticed Increased Sensitivity After the Filling?
Normally, there should be no change in sensitivity after a filling. However, as mentioned earlier, significant reconstructions can lead to sensitivity that tends to disappear over time, especially to pressure, cold, and heat. If the discomfort persists, you should consult your dentist again.
Can a Filling Come Out?
Yes, fillings can come out or break for various reasons. This can happen due to leakage in the same tooth part, excessive force while biting hard foods, bruxism issues, receiving a blow to the mouth, and so on.
While it's not overly concerning, it's essential to make an appointment with the dentist as soon as possible. To avoid such situations, regular check-ups are crucial. This way, our dentist can assess the condition of our fillings and anticipate potential issues in advance.
What Material Is Used for Fillings and How Long Do They Last?
There was a time when smiles were filled with silver and even gold decorations. In the past, highly durable silver amalgam materials were used. However, their negative aesthetic effects have led to the adoption of newer materials. Primarily, we refer to composites. These are a type of resin that matches the color of the bone like the tooth. As mentioned earlier, composites fill the void, and since they harden with light, they are cured with a special light.
The downside is that composites are less durable than metal fillings. However, this does not mean you have to change your fillings every week. During periodic check-ups, the dentist will tell the patient when the old filling needs to be replaced. Depending on the patient's care, bite, and other personal conditions, a composite filling can last for many years.
Can a Tooth with a Filling Be Whitened?
If possible. The only disadvantage is that the color of the filling does not change with whitening, remaining the same as the enamel. As a result, the filling may be slightly more visible after whitening. However, it can always be replaced with a new one that matches the current tone of the prosthesis. In any case, what should never be done is whitening when there is a cavity without filling, as it can worsen infections.
Ready to plan your Tooth Filling?
Request a personalized treatment plan or contact our patient coordinators on WhatsApp.
Similar Treatments
Page Last Updated: 03.03.2026 — Corporate Communications (info@thepearlclinicantalya.com)
Looking for a reliable and satisfied treatment?
Contact Us & Learn More About Our Treatments